2D 多平面重建(MPR)
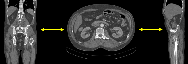
RadiAnt DICOM Viewer 内置的 MPR 工具可将图像重建为正交平面(冠状面、矢状面、轴面或斜面,具体取决于源图像的基础平面)。这有助于实现仅凭基础图像无法实现的解剖结构可视化。

点击工具栏上的 MPR 按钮,选择要将序列重建到的平面(当前平面已勾选并显示为灰色)。

也可使用以下键盘快捷键切换平面:
| 快捷键 | MPR 平面 |
|---|---|
| Ctrl + Alt + 1 | 冠状面 |
| Ctrl + Alt + 2 | 矢状面 |
| Ctrl + Alt + 3 | 轴面 |
在配置较好的计算机上,此过程仅需 1–2 秒,内存较少的计算机可能会明显更慢。
如果按钮显示为灰色,说明 MPR 工具不适用于该序列(例如图像平面不平行时)。

一个序列可以在三个平面上重建,利用交叉参考线轻松定位感兴趣区域。
使用分屏工具打开三个面板,将源序列缩略图拖放到每个面板中。
先点击第一个面板将其激活,然后使用 MPR 工具选择新图像平面。对第二个面板重复此操作。
