RadiAnt 高级主题-3D预设

单击工具栏上的 3D预设 按钮以显示具有不同图像预设的菜单,可以将其应用于显示的体积。

RadiAnt_DICOM_Viewer_3D_Volume_Rendering_3DPresetsMenu

选择一种预设来更改可视化音量的方式。

RadiAnt_DICOM_Viewer_3D_Volume_Rendering_3DPresets_Angio

安焦

RadiAnt_DICOM_Viewer_3D_Volume_Rendering_3DPresets_Airways

航空公司

RadiAnt_DICOM_Viewer_3D_Volume_Rendering_3DPresets_BonesAndSkin1

骨头和皮肤1

RadiAnt_DICOM_Viewer_3D_Volume_Rendering_3DPresets_BonesAndSkin2

骨头和皮肤2

RadiAnt_DICOM_Viewer_3D_Volume_Rendering_3DPresets_BonesAndSkin3

骨头和皮肤3

RadiAnt-DICOM-Viewer-3D-体积渲染预设-骨骼-BW

骨骼黑白

RadiAnt-DICOM-Viewer-3D-体积渲染预设-皮肤-BW

皮肤黑白

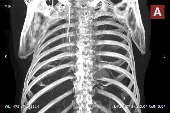
RadiAnt_DICOM_Viewer_3D_Volume_Rendering_3DPresets_MIP_BW

MIP黑白

RadiAnt_DICOM_Viewer_3D_Volume_Rendering_3DPresets_MIP_BW_Inverse

MIP黑白反转

分享 facebook
Facebook
分享 twitter
Twitter